本文转自“梅斯医学”公众号
近些年来,「线粒体」已成为科研的“宠儿”——线粒体相关研究历史比较长,但近十年来仍呈爆发式增长,也是近年来高分文章的焦点之一。
在Pubmed数据库中输入“Mitochondria”,文章数量为257,626篇,2023年的发文量有10,618篇。2023年最佳国自然“中标”研究热点,线粒体荣登榜首第3位,中标率高达566!从国自然立项情况来看,线粒体相关国家自然科学基金的中标数量稳步增加,充分说明了线粒体方向在国自然基金中的火爆程度。
线粒体与“疾病问题”息息相关。近年来的研究表明,线粒体参与肿瘤、心血管疾病、神经退行性疾病、糖尿病、免疫性疾病等众多疾病的发生发展。因此,线粒体延伸方向也比较多,有氧化应激,脂质代谢,衰老,炎症等。这也意味着,线粒体研究可与其他国自然热点相结合,实现“强强联合”。
「代谢重编程」是指细胞为了应对各种刺激压力而做出的代谢改变。这种现象普遍存在于多种疾病中,涉及到糖代谢、脂代谢、氨基酸代谢等代谢途径,与疾病的发生发展密切相关,且其相关信号通路上的关键蛋白也可成为药物的作用靶点。有关代谢重编程的高分文章也层出不穷,2023年国自然热点排行榜排名第12位,中标数达到了218个。
近日,来自苏州大学和中国航天员中心的研究员们在Nature出版集团旗下刊物《Signal Transduction and Targeted Therapy》发表了题为“Thiamine-modified metabolic reprogramming of human pluripotent stem cell-derived cardiomyocyte under space microgravity”的研究论文,确定了补充硫胺素(维生素B1)可以逆转微重力引起的适应性变化和心肌细胞中线粒体的氧化代谢,在太空飞行期间对人类心肌细胞进行硫胺素相关的代谢重编程干预可能是对抗微重力的可行对策。
这项研究是中国空间站上的首次天体生物学研究,为进一步的航天生物医学研究奠定了坚实的基础。

一、研究背景
随着航天技术的不断发展,人类对近地轨道、月球及更远距离的太空探索将变得更加普遍。然而,暴露在不同于正常重力状态的太空微重力下,可能会引发对人体适应性的持久影响,包括多器官退化、功能障碍、结构异常、代谢紊乱、早衰等。对于心血管系统,执行航天飞行任务的宇航员会出现心率降低、动脉压降低、心律失常、心肌萎缩、贫血和其他类似衰老的病症(如体能丧失、动脉硬化、和胰岛素抵抗等),然而,目前仍缺乏有效的治疗和预防方法来缓解症状。
心脏是一个高耗能的器官,需要大量ATP供能使心肌细胞收缩和舒张。线粒体氧化代谢是ATP产生的最重要贡献者,在维持正常身体机能中发挥着关键作用。因此,科学家们在啮齿动物和细胞模型中进行了一系列研究,以探究微重力对心脏生理学和心肌细胞中线粒体代谢途径的影响。但对于微重力条件下心脏异常的具体机制尚不完全清楚,需要进一步探索。
二、研究思路方法与结论
研究思路1:建立hPSC-CM模型并发送至天和核心舱
研究方法:
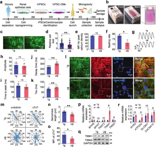
(1)制备两种人多能干细胞(hPSC)系,分别为人诱导多能干细胞(hiPSC)和GCaMP6f敲入的H9人胚胎干细胞(GCaMP)。检测其干细胞标记物OCT4和SOX2表达,并进行核型分析。
(2)通过调节CDM3培养基中的WNT信号传导,将生成的hiPSC和GCaMP细胞分化为跳动的心肌细胞(GCaMP-CM),检测心脏标志物α-肌动蛋白和cTnT表达水平。
(3) 将其纯化后,把hiPSC-CM和GCaMP-CM接种至特殊细胞培养室后发射到中国空间站(CSS)和核心舱,在微重力条件下放置6天后,然后收集样品。

研究思路2:探究微重力诱导的hPSC-CM适应性变化
研究方法:
(1)检测hPSC-CM在微重力下的收缩能力,对比心肌细胞形态大小和钙信号的平均荧光强度(MFI)。
(2)利用GCaMP钙传感器,评估GCaMP-CM中的钙循环(如钙瞬变时程、达峰时间和恢复时间等)。
(3)通过对肌节蛋白cTnT和α-肌动蛋白的免疫荧光染色以及ATP2A2和钙电压门控通道亚基α1C(CACNA1C)的表达,探究微重力对肌组织和细胞骨架的影响。
研究结论:太空微重力可导致hPSC-CM中肌节重排和钙循环相关基因的异常表达,从而诱导心肌细胞收缩性改变。

研究思路3:探究微重力下代谢改变是否伴随着心肌细胞收缩变化
研究方法:
(1)通过代谢组学分析评估了细胞培养上清液中的代谢物含量,鉴定了824种代谢物。
(2)转录组分析代谢物差异表达基因富集在哪些途径。
(3)因为硫胺素(维生素B1)在上清液显著富集,所以检测微重力下hPSC-CM中硫胺素转运蛋白SLC19A2、SLC19A1和SLC19A3的mRNA和蛋白表达水平,以及丙酮酸氧化和TCA循环的必需基因表达水平。
研究结论:空间微重力下能量代谢发生了显著改变,心肌细胞可以通过代谢重编程来适应微重力环境,其中硫胺素可能发挥关键作用。

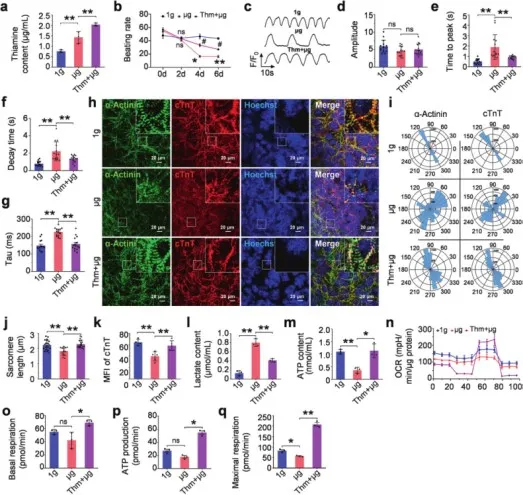
研究思路4:验证硫胺素是否发挥关键作用
研究方法:
(1)硫胺素类似物氨丙啉(APL,可阻断硫胺素转运)诱导GCaMP-CM中硫胺素缺乏后,检测其类似表型、细胞骨架等,以及细胞培养上清液中残留硫胺素和乳酸含量。
(2)通过细胞能量代谢分析APL干预后的氧化磷酸化(包括基础呼吸、ATP产生和最大呼吸)水平,以及TCA循环产物α-酮戊二酸的含量。
研究结论:硫胺素利用率降低会导致TCA循环中断,这可能会导致暴露于微重力的心肌细胞中细胞收缩和细胞骨架组装的能量消耗减少。

研究思路5:探究补充硫胺素是否可以预防微重力引起的钙动力学和心肌收缩变化
研究方法:
(1)通过旋转细胞培养系统(RCCS)模拟微重力,将添加和不添加硫胺素的GCaMP-CM放置6天。检测其跳动速率、Ca2+处理能力、细胞骨架变化、上清液中乳酸含量和ATP含量。
(2)构建并转染慢病毒载体,在体外hiPSC-CM中诱导SLC19A2过表达后检测细胞上清液中硫胺素、乳酸含量、氧化磷酸化水平以及心肌细胞跳动速率。
研究结论:补充硫胺素通过增强TCA循环,在防止微重力诱导的CM表型变化方面发挥着重要作用。

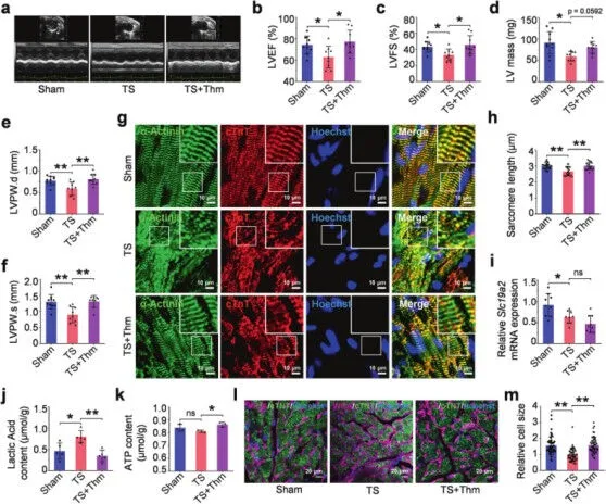
研究思路6:评估补充硫胺素是否可以逆转微重力引起的体内心脏功能变化
研究方法:
(1)建立小鼠尾悬(TS)模型,模拟微重力,每天口服硫胺素或水。通过超声心动图检测心脏功能:LVEF(左室射血分数)和LVFS(左室短轴缩短率))含量。
(2)检测细胞骨架变化、SLC19A2的表达、心脏组织中乳酸和ATP的含量,并通过WGA染色检测小鼠心肌细胞形态大小。
研究结论:硫胺素干预可以显著逆转心脏萎缩表型并改善心脏收缩和舒张功能,补充硫胺素可以保护心脏免受TS引起的心肌细胞结构和功能改变。

三、小结
这项研究中,受太空微重力作用下的hPSC-CM出现跳动速率下降和胞内钙循环异常。研究人员通过代谢组学和转录组学分析,揭示了航天中hPSC-CM的一系列代谢重编程,尤其是硫胺素代谢。微重力阻止了hPSC-CM中硫胺素的摄入,使其利用率下降并影响了三羧酸循环,它减少了ATP的产生,从而导致hPSC-CM中的细胞骨架重塑和钙稳态失衡。更重要的是,体内外研究表明,补充硫胺素可以逆转模拟微重力引起的适应性变化。
这项研究是中国空间站上的首次天体生物学研究,为进一步的航天生物医学研究奠定了坚实的基础。这些数据表明,在太空飞行期间对人类心肌细胞进行硫胺素修饰的代谢重编程干预可能是对抗微重力的可行对策。
参考来源:
Han X, et al. Thiamine-modified metabolic reprogramming of human pluripotent stem cell-derived cardiomyocyte under space microgravity. Signal Transduct Target Ther. 2024 Apr 8;9(1):86.